sports medicine north peabody mri
1 Essex Center Drive. 1 Reviews of Sports Medicine North in Peabody MA specializing in Doctors Other Healthcare Professionals - I have had 5 knee surgeries by Dr.
The Adult Acquired Flatfoot Springerlink
Ad Get Your Magnetic Resonance Imaging at The Regions Most Preferred Orthopedic Practice.
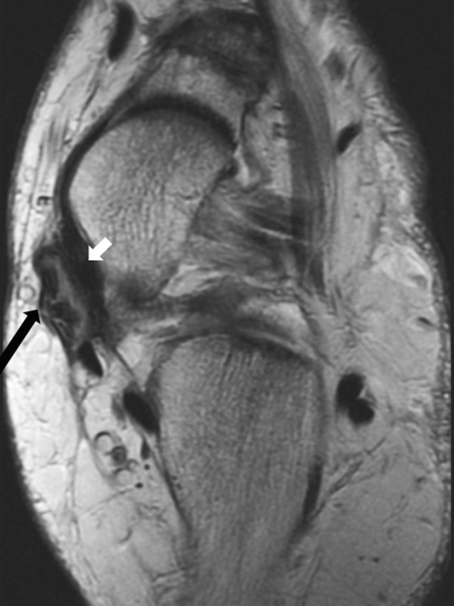
. This thick band of connective tissue travels across the bottom of the foot between the toes and the heel. Plantar fasciitis is an irritation of the plantar fascia. Sports Medicine North is a medical group practice located in Peabody MA that specializes in Physical Medicine Rehabilitation and is open 5 days per week.
61 reviews of Sports Medicine North I have been cursed with lower back pain. James Lee Sports Medicine North. But if it werent for him and his.
The practitioners primary taxonomy code is 2085R0202X. Sports Medicine North has been providing unmatched orthopedic care to patients on the north shore of Boston Massachusetts as well as the surrounding areas for nearly 30 years with our main location in Peabody. 5 patients reviewed this clinic 0 would recommend it.
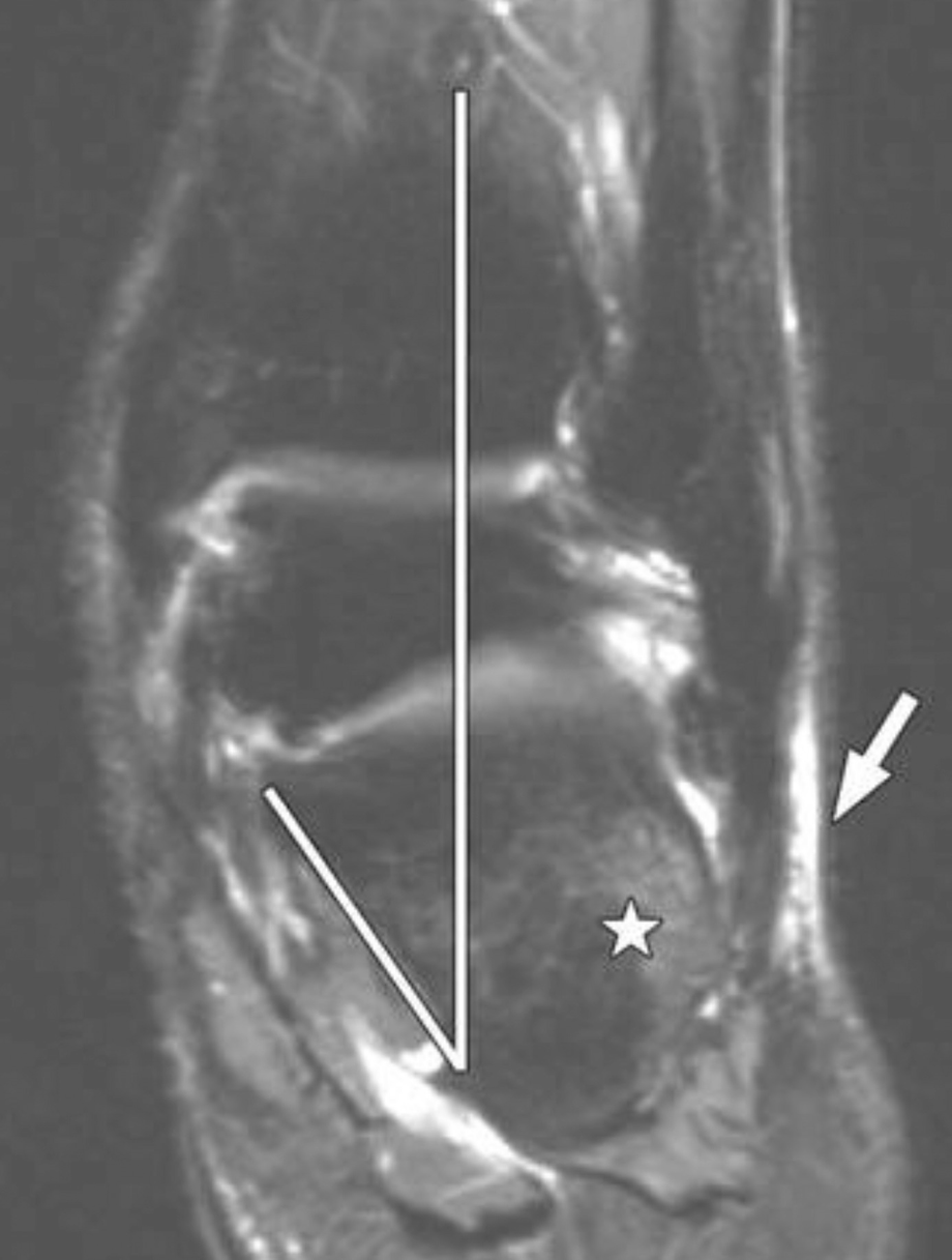
8 rows One Essex Drive Peabody MA 1960. 5423 likes 71 talking about this 4478 were here. This is a tear of a large tendon in the front of your knee.
North shore magnetic imaging centers practice location is. Home Unlabelled Sports Medicine North Peabody Mri - Sports Medicine North - Learn about our orthopedic doctors and staff who specialize in bone joint and muscle injuries conditions in peabody and surrounding areas. A complete tear is a disabling injury.
A multispecialty orthopedic surgery practice who has served the peabody and the north shore for greater than 20 years. The NPI number of Sports Medicine North Orthopaedic Surgery Inc is 1740793561 and was assigned on November 2017. Get store hours phone number directions and more for Sports Medicine North at 1 Orthopedics Dr Peabody MA 01960.
Sunday January 16 2022. 1 at 530 pm. I have spent years dealing with it-trying to work through it-giving up high heel shoes because of it.
The HIPAA Marketing Rule has generally been interpreted to allow healthcare marketers to remarket their brand to website visitors typically via the use of. Sports Medicine North Breaks Ground on New Facility in Newburyport. Get reviews hours directions coupons and more for Sports Medicine North at 1 Orthopedics Dr Peabody MA 01960.
David Fehnel Steven Mattheos Hugh OFlynn and Bojan Zoric as well as Mayor Donna Holaday were in attendance at the ceremony. For their new office in Newburyport located at 20 Henry Graf Jr. I was referred to him after suffering acute lower back and leg pain several.
Visit Peabody Imaging Peabody MA at 1 Orthopedics Dr. See other Physicians Surgeons Orthopedics Physicians Surgeons Surgery-General Physicians Surgeons Sports Medicine Physicians Surgeons Physical Therapy Clinics Physical Therapists Physicians Surgeons Rheumatology Arthritis. Learn about the imaging services offered at Sports Medicine North in Peabody Beverly and Newburyport Massachusetts.
James Lee Sports Medicine North. Ricardo sanchez md is a diagnostic radiology specialist in. Lahey Clinic North Shore.
North shore magnetic imaging centers practice location is. Sports Medicine North held a groundbreaking ceremony on Sept. It supports the foots natural arch.
Search for other Physical Therapy Clinics on The Real Yellow Pages. We call it the patellar tendon It connects the bottom of the kneecap to the top of the shinbone. Sports medicine north peabody imaging.
Call or Request an Appointment Online Today and Get Your MRI When its Convenient for You. Welcome to Sports Medicine North. I keep having to need them because once he fixes me I injure myself again.
Is 1699171470 and was assigned on november 2014. Fri 800am - 500pm. It helps you straighten your leg.
Learn about the imaging services offered at sports medicine north in peabody beverly and newburyport massachusetts. Sports Medicine North has been providing unmatched orthopedic care to patients on the north shore of Boston Massachusetts as well as the surrounding areas for nearly 30 years with our main location in. For primary and specialty medical care services look no further than peabodys sports medicine north.
61 reviews of Sports Medicine North I have been cursed with lower back pain. Sports Medicine North is a full service orthopedic facility providing Boston quality care in the. What started as a two-doctor practice has grown to become a renowned.
I was referred to him after suffering acute lower back and leg pain several. Sports Medicine North Orthopaedic Surgery Inc is a provider established in Peabody Massachusetts specializing in radiology diagnostic radiology. Sports Medicine North Peabody Massachusetts.
You can have a tear that doesnt go all the way through the tendon or you can tear the tendon completely. I have found what is looking to be the best spinal specialist I have met Dr. Peabody MA 01960 for all of your Injections Biopsies MRI and other diagnostic imaging needs.
For questions please call. I have found what is looking to be the best spinal specialist I have met Dr. Providers Overview Location Reviews.
It stretches and becomes taut whenever the foot bears weight. I have spent years dealing with it-trying to work through it-giving up high heel shoes because of it. Sports Medicine North Orthopaedic Surgery radiology radiotherapy radiosurgery clinic is based Peabody United States.
Sports Medicine North in Peabody reviews get directions 978 767-98 MA Peabody 1 Orthopedics Dr Fl 2nd map location zip code working hours how can i. North shore neuropsychological services 7 essex green dr ste 63. Get reviews hours directions coupons and more for Sports Medicine North.
The Adult Acquired Flatfoot Springerlink
Imaging And Radiology Services North Shore Physicians Group
Danvers Outpatient Medical Day Surgery Center Lahey Outpatient Center Beverly Hospital
About Us New England Orthopedic Specialists
Full Dissident On Twitter Here Are Creepy X Rays Of My Spine After Last Year S C 4 6 Double Neck Fusion Metal Plate In The Front Six Home Depot Screws Holding It Together And While
Occupational Therapy Sports Medicine North

